


Im Jahr 1995 hat Zirkon in der Zahnmedizin Einzug gehalten. Zuvor hat man die Eigenschaften dieses Materials aber auch schon in anderen Bereichen der Medizin schätzen gelernt. Zum Beispiel bei Hüftgelenken. Weltweit wird Zirkon heute für die Herstellung künstlicher Gelenke verwendet. Warum also sollte es nicht auch für Zahnersatz, sprich die Kronen – und Brückentechnik verwendet werden?
Mit Fug und Recht kann man behaupten, dass die Entdeckung des Materials für die Zahnmedizin einen Meilenstein bedeutet. Die Vorteile gegenüber den bisher gekannten Metallen und Keramiken sind vielfältig.
So ist z. B. die hohe Biokompatibilität (Körperverträglichkeit) unumstritten. Allergische Reaktionen auf Zirkonium sind nicht bekannt, im Gegensatz zu Metallen aller Art.
Außerdem ist nachgewiesen, dass sich das Zahnfleisch an Zirkonium wesentlich besser anschmiegt und auch noch nach vielen Jahren so gesund rosa aussieht, wie an Ihren natürlichen Zähnen. Durch die nachgewiesene sehr geringe Plaqueaffinität (Die Eigenschaft eines Werkstoffes Plaque, also Ablagerungen anzunehmen) ist die Gefahr von Zahnfleischerkrankungen deutlich niedriger.
In unserem Betrieb verarbeiten wir Zirkon schon seit 1997 und verfügen über entsprechende Erfahrung bei Verarbeitung und Verblendung bzw. Bemalung (Monozirkon).
Haben Sie Fragen zu diiesem oder anderen Materialien? Gerne beantworten wir Ihre Email.

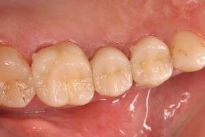
Teilkronen im Seitenzahnbereich

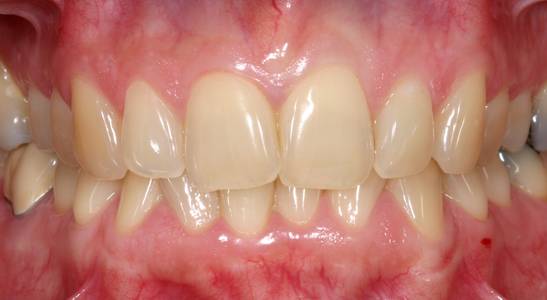
Lebendige Schichtung

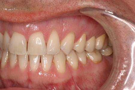
Lebendige Schichtung